Bệnh nha chu là một trong những bệnh răng miệng phổ biến hiện nay. Mặc dù bệnh xuất hiện trên mọi đối tượng, ở cả người trẻ và lớn tuổi, tuy nhiên không phải ai cũng hiểu biết về bệnh nha chu là gì? Và đặc biệt hơn là bệnh nha chu có thể khắc phục với việc sử dụng bàn chải điện khi làm vệ sinh răng miệng đấy. Hãy cùng Gia dụng Đức Sài Gòn tìm hiểu các thông tin về bệnh nha chu trong bài viết sau.
Nội Dung Chính
Bệnh nha chu là gì?
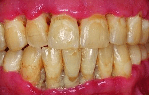
Viêm nha chu hay còn được gọi là bệnh nha chu là tình trạng nướu bị nhiễm trùng nghiêm trọng gây tổn thương đến các mô mềm và phá hủy xương xung quanh răng từ đó khiến răng bị lỏng hoặc có thể mất răng. Bệnh nha chu được chia thành 2 nhóm chính:
- Viêm lợi: xuất hiện chủ yếu ở lứa tuổi dậy thì.
- Viêm nha chu: nếu trong quá trình dậy thì viêm lợi không được điều trị có thể dẫn đến tình trạng viêm nha chu ở tuổi thanh thiếu niên và trưởng thành. Ở giai đoạn này, quá trình viêm đã phá hủy các mô mềm nâng đỡ răng sâu bên dưới lợi như xương, dây chằng nha chu. Ở giai đoạn viêm nha chu, khả năng mất răng rất cao.

Bệnh nha chu xuất hiện chủ yếu ở lứa tuổi trung niên và đó cũng chính là một trong những nguyên nhân mất răng ở người lớn. Bệnh diễn ra rất thầm lặng thường bị bỏ qua do đó khi bệnh đã trở nặng thì bệnh mới được phát hiện.
Nguyên nhân bệnh nha chu là gì
Nguyên nhân chính gây bệnh là sự phát triển của vi khuẩn tồn tại trong mảng bám răng. Mảng bám chứa các loại vi khuẩn sẽ tích tụ và dần dần khoáng hóa trở thành cao răng với lượng vi khuẩn dày đặc nếu răng không được làm sạch, vệ sinh tốt. Nếu không được điều trị kịp thời có thể dẫn đến viêm nha chu. Nếu bệnh nhân đang trong tình trạng mắc các bệnh làm giảm sức đề kháng của cơ thể thì bệnh nha chu có thể chuyển biến rất nhanh.

Ngoài ra, một số yếu tố làm tăng khả năng gây bệnh như:
- Không để ý việc làm sạch, vệ sinh răng miệng đúng cách.
- Chế độ dinh dưỡng không được bảo đảm, hợp lý Không có chế độ dinh dưỡng hợp lý, chuẩn khoa học.
- Sức đề kháng bị giảm sút do mắc các bệnh (HIV/AIDS) hoặc đang mang thai.
- Sử dụng thuốc lá thường xuyên.
Triệu chứng bệnh nha chu là gì
Có thể bị mất răng khi bị mắc bệnh nha chu. Một số nghiên cứu cho thấy vi khuẩn gây bệnh nha chu có thể thâm nhập vào máu của nạn nhân thông qua mô nướu, gây ảnh hưởng đến các cơ quan hô hấp như tim, phổi và các bộ phận, cơ quan khác trên cơ thể. Ví dụ, bệnh nha chu có thể liên quan đến bệnh hô hấp, động mạch vàng hoặc nặng nhất có thể dẫn đến đột quỵ.

Các triệu chứng thường gặp của bệnh nha chu gồm:
- Nướu bị sưng
- Nướu dễ chảy máu
- Nướu không bám chặt răng, khiến răng trông dài hơn bình thường
- Giữa răng và nướu có các khoảng trống xuất hiện
- Mủ giữa răng và nướu
- Hơi thở hôi
- Răng lung lay
- Đau khi nhai
- Chảy máu khi chải răng
- Lợi sưng đỏ, dễ chảy máu
- Trên bề mặt răng xuất hiện các mảng bám răng và cao răng, đặc biệt là vùng cổ răng.
- Dịch hoặc mủ có thể chảy ra khi ấn vào túi lợi
Phòng ngừa bệnh Nha chu với bàn chải điện

Để phòng ngừa bệnh nha chu điều quan trọng nhất là vệ sinh răng miệng sạch sẽ và đều đặn để có thể loại bỏ các mảng bám vi khuẩn trên bề mặt răng. Chính vì thế bạn cần nghiêm túc quan tâm đến kỹ thuật đánh răng và dụng cụ làm sạch răng miệng của mình. Bàn chải điện tự động và chỉ nha khoa có thể giúp bạn khắc phục vấn đề này. Bàn chải giúp bạn đánh răng đúng cách, đúng thời gian và chỉ nha khoa loại bỏ những mảng bám còn lại.
Dẫu như thế nhưng bạn vẫn cần đến nha khoa để khám răng định kỳ và lấy cao răng trong khoảng từ 6 đến 12 tháng/ lần.
Thói quen tốt giúp phòng ngừa bệnh nha chu
Thói quen tốt nhất giúp phòng ngừa bệnh nha chu là gì? Chải răng và dùng chỉ nha khoa đúng cách để loại bỏ các mảng bám thức ăn khỏi răng, đồng thời mát xa cho nướu để tăng lưu lượng máu đến mô nướu. Đảm bảo chải răng trong 2 phút và làm sạch bề mặt răng.
Ngoài ra, để duy trì sức khỏe răng miệng cũng như phòng tránh bệnh, các chuyên gia khuyến khích mọi người nên tập một số thói quen tốt như:
- Đến nha khoa để khám răng định kỳ kiểm tra sức khỏe răng miệng, các nha sĩ sẽ đánh giá tình trạng nướu và các mô miệng khác của bạn từ đó có thể đề nghị loại bàn chải đánh răng phù hợp với tình trạng nướu và hướng dẫn bạn sử dụng đúng cách chỉ nha khoa.
- Tăng cường vệ sinh răng miệng, đánh răng ít nhất hai lần mỗi ngày, nếu bạn thường xuyên ăn vặt có thể vệ sinh nhiều hơn.
- Sử dụng nước súc miệng, chỉ nha khoa kết hợp với bàn chải đánh răng để loại bỏ hoàn toàn những mảng bám giữa các kẽ răng, những nơi mà bàn chải không chạm tới.
- Chải răng đúng cách với bàn chải điện vì bàn chải điện được thiết kế với kiểu đầu tròn và lông chải mềm bằng nylon, đây được cho là kiểu thiết kế đem lại hiệu quả làm sạch răng miệng cao nhất. Thay đầu bàn chải định kỳ 2 – 3 tháng thay một lần để đảm bảo hiệu suất của bàn chải.
Trên đây là các thông tin để trả lời cho câu hỏi bệnh nha chu là gì? cũng như các nguyên nhân, triệu chứng của bệnh nha chu. Hy vọng với các thông tin mà Gia dụng Đức Sài Gòn đã cung cấp có thể giúp bạn hiểu hơn về bệnh nha chu cũng như các cách phòng ngừa bệnh đảm bảo sức khỏe hơn cho bản thân và gia đình.
